Arunachal's TRIHMS performs state's first successful primary angioplasty
A team of cardiologists at Tomo Riba Institute of Health and Medical Sciences (TRIHMS) successfully performed the first primary angioplasty in Arunachal Pradesh, saving a 61-year-old diabetic man. Despite complications, the patient is now stable and recovering in the intensive cardiac care unit.

- Jun 03, 2024,
- Updated Jun 03, 2024, 9:50 AM IST
A team of cardiologists at Tomo Riba Institute of Health and Medical Sciences (TRIHMS) successfully performed an emergency angioplasty procedure, saving the life of a 61-year-old diabetic male who had arrived in Arunachal Pradesh to visit his son serving in the Indo-Tibetan Border Police (ITBP).
The patient, who had developed chest pain in the evening, was rushed to Rama Krishna Mission Hospital (RKM), where he was diagnosed with an inferior wall myocardial infarction (heart attack). Given the critical window period, he was immediately referred to TRIHMS for further management.
Upon arrival at TRIHMS, the patient was promptly thrombolysed with streptokinase (STK). Despite this intervention, he developed cardiogenic shock, necessitating an immediate transfer to the catheterization laboratory for a primary percutaneous transluminal coronary angioplasty (PTCA) procedure.
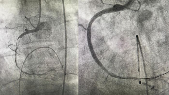
The medical team, led by Dr Rinchin Dorjee Megeji, Associate Professor of Cardiology, and Dr Tony Ete, Assistant Professor of Cardiology, swiftly took action. First, a temporary pacemaker (TPI) was implanted, followed by a coronary angiogram (CAG) of the left coronary artery (LCA), which revealed significant disease in the left anterior descending artery (LAD).
However, before the right coronary artery (RCA) could be accessed, the patient developed ventricular tachycardia (VT) followed by cardiac arrest. The team promptly administered a defibrillator shock and initiated cardiopulmonary resuscitation (CPR). Simultaneously, they managed to hook the RCA and perform a CAG, which showed near-total occlusion of the culprit proximal RCA.
The medical team proceeded with ballooning and stenting of the proximal RCA. During the stenting process, the patient experienced another episode of VT, requiring an additional defibrillator shock. Once the stenting was completed, the patient's vitals began stabilising, and the VT gradually disappeared.
The cardiac interventional procedure, which commenced at 12 am, was successfully completed by 1 am on June 2. The patient was subsequently shifted to the intensive cardiac care unit (ICCU) for monitoring and recuperation.
This milestone achievement marks the first successful primary angioplasty performed at TRIHMS and in the state of Arunachal Pradesh, highlighting the institution's commitment to providing advanced cardiac care and saving lives.
The medical team involved in this feat included Dr Sindu Damde, Junior Resident in Cardiology, Margo Bagra and Mukhtarul Ali as catheterisation laboratory technicians, and nursing officers Karnu Poyom and Sandhya.